- TOPページ
- 予防歯科 歯のクリーニング
PMTC プロによるお口のクリーニングを行います
歯みがきの磨き残しで発生する歯周病や虫歯の細菌を専門の機械で徹底的に清掃するのがPMTCです。歯には歯ブラシで落とせない汚れがあります。
歯と歯のすき間などに、付いたネバネバした汚れを「バイオフィルム」と言います。その「バイオフィルム」を放っておくと虫歯、歯周病、口臭の原因となります。
こんな方におすすめします
- 虫歯予防をしたい方
- 歯周病の進行を抑えたい方
- お口の中を清潔にしたい方
- 歯ブラシが苦手な方
- インプラント治療をされた方
バイオフィルムは細菌の出す膜に守られ強力に付着します。
歯ブラシで取りにくく、付け薬やうがい薬も通しにくいのでPMTCによる機械的な除去が必要です。
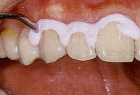
PMTCの流れ

歯の表面に専用のクリーニングペーストを塗ります。
柔らかいカップ状の機械で、汚れを完全に落とします。
口の中がさわやかで歯はツルツルでピカピカになります。汚れもつきにくく清潔な状態になりました。
PMTCは歯石の除去とはちがい、柔らかい特殊な器具を使うので、痛みはありません。PMTCによって、歯の表面はバイ菌のいない、とても清潔な状態になります。3~4ヶ月に1度行なうと、効果的に虫歯や歯周病を予防することができます。
歯石除去(歯周病予防)
歯を失う原因の第1位は「歯周病」です
成人の約80%以上が歯周病と言われています。若年層の5~14歳の36%、15~24歳では65%が歯周病になっています。中高年だけではなく、誰でもかかりやすい病気なのです。歯周病や虫歯の原因となる、歯石は歯科の専門的な器具でなければ取り除くことが出来ません。
⇒歯周病・歯石除去のページについてはこちらをご覧ください。
咬合治療(咬み合わせ)
「予防歯科に咬み合わせが関係するのですか?」と思われるかもしれません。咬み合わせがおかしくなると、歯周病と同じような症状が出たり、天然歯や今お使いのクラウン(差し歯)が割れたり、何回通って治療しても中々治らない、治療を繰り返しても次々と違う場所の歯がダメになる、…等々、さまざまな問題を引き起こします。
⇒当院では、咬み合わせ・顎関節の治療に力を入れています。
定期健診の重要性
「えっ?痛くないのに歯医者に行くの?」
そうなんです。お口の中の健康を保つためには…
- 毎日のきちんとした歯みがき
- 規則正しい生活習慣
- 定期検診
…が必要なのです。倉内歯科医院では、ご自身の正しい歯みがきやメンテナンスと、歯科医院による定期的なプロのケア(定期検診)を受けることにより、少しでも長く自分の歯で食べる喜びを感じて頂きたいと考えております。痛くなる前に、症状が悪化する前に予防する = 定期検診をお勧めします。
定期検診を受けると、こんないい事があります

定期検診ではどんな事をするの?
- 自分では清掃できないところの虫歯菌・歯周病菌を取り除き、汚れを付きにくくします
(歯にくっついて薬やうがいでは取り除くことはできません) - 歯周病の検査、虫歯の有無チェック
- ブラッシングのお話、アドバイスなど
- 年に2~4回行います(個人差があります)



